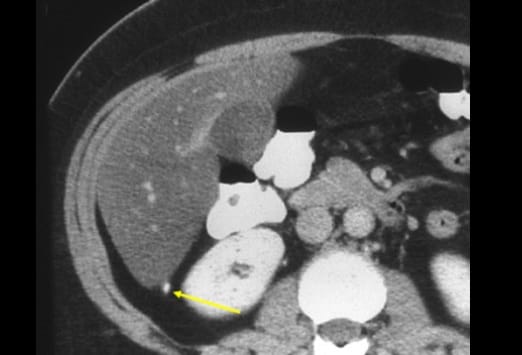
Es ist eine entzündlich veränderte und verdickte Appendix mit einem Appendikolithen zu sehen (Pfeil). Die Diagnosestellung einer Appendizitis ist sicherer und kosteneffektiver, wenn bildgebende Verfahren eingesetzt werden. [1] Die Computertomographie (CT) des Abdomens ist die am häufigsten durchgeführte Untersuchung, wenn es um die Abklärung einer abdominellen Schmerzsymptomatik geht. Die Abdomenübersicht hat eine geringe Spezifität und Sensitivität. Die Abdomensonographie kommt vor allen bei Kindern zum Einsatz; allerdings ist ihre Aussage sehr stark Untersucher-abhängig. Das Mehrzeilen-CT zeigt eine hohe Sensitivität (98,5%) und Spezifität (98%), bei einer falsch-negativen Rate von <1% und einer falsch-positiv Rate von ~6%.[2]

Die normale Appendix (Pfeil) ist eine tubuläre oder ringförmige Struktur, normalerweise mit einer Länge von 5-35 cm und entspringt 1,7-2,5 cm unterhalb des terminalen Ileums. Manchmal ist sie kollabiert oder mit Flüssigkeit oder Luft gefüllt. Das umgebende Fettgewebe sollte homogen erscheinen. Bei bis zu 42% der Patienten mit dem klinischen Verdacht auf eine Appendizitis wird im CT eine andere Diagnose gestellt. [2] Insbesondere Appendizitis und Nephrolithiasis können einander klinisch ähnlich sein. Wenn die initiale Verdachtsdiagnose eine Appendizitis ist, sollte immer eine orale und intravenöse Kontrastmittelgabe erfolgen. Die Abklärung von Nierensteinen wird oft auch ohne Kontrastmittel-CT durchgeführt.

In dieser Abbildung reicht die Appendix hinauf bis zur Leber. Die Appendix liegt in bis zu 65% der Fälle retrocoecal. Bei Patienten mit einer retrocoecal gelegenen Appendizitis ist der Schmerz oft schlecht zu lokalisieren. Diese Patienten geben diffuse Beschwerden beim Husten oder Schmerzen in der in der Flanke an, seltener haben sie Schmerzen im rechten Unterbauch. Bei bis zu 15% der Patienten kann die Appendix nicht dargestellt werden. Dies gilt insbesondere bei Patienten mit einem geringen Anteil von intraabdominellem Fett. Von einigen Ärzten wird behauptet, dass eine nicht darstellbare Appendix eine Appendizitis ausschließt, [3] allerdings kann eine nicht erfolge Lokalisationsdiagnostik in diesen Fällen zu einer falsch-negativen Diagnose führen. In diesen Fällen ist es sinnvoll, eine engmaschige Verlaufskontrolle zu empfehlen.

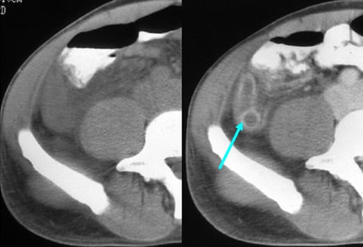
Intravenöses Kontrastmittel (siehe Abbildung) ist ein wichtiges diagnostisches Hilfsmittel. Dieser Patient präsentierte sich mit einer Hypotonie und einer gram-negativen Sepsis, allerdings ohne abdominelle Schmerzen in der klinischen Untersuchung. Das Bild auf der linken Seite, welches mit oralem, aber ohne intravenöses Kontrastmittel durchgeführt wurde, ergab keinen schlüssigen Befund. Das Bild auf der rechen Seite zeigt die erneute Untersuchung nach Gabe von intravenösem Kontrastmittel. Dieses stellt eine verdickte, vermehrt kontrastierte Appendixwand und entzündliche Veränderungen des umgebenden Fettgewebes dar.

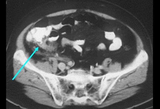
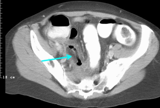
Orales Kontrastmittel ist ebenfalls ein wichtiges diagnostisches Hilfsmittel, auch wenn es die Zeit bis zur endgültigen Diagnosestellung verzögert. So kann beispielsweise die Entzündung der Appendix die retrogerade Füllung von Barium in den distalen Anteil der Appendix verhindern (Pfeil); dies wird als Arrowhead-sign bezeichnet.[1] Die Schwere und die Dauer der Appendizitis spiegelt sich im pathologischen Befund wider; dies beinhaltet eine Vergrößerung der Appendix, eine Periappendizitis, einen perityphlitischen Abszess und eine nachträgliche Perforation.

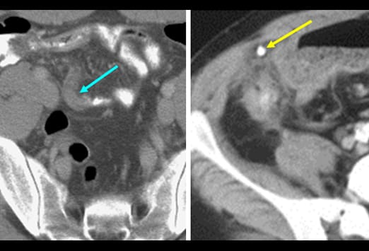
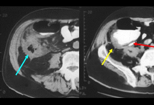
Die Abbildung auf der linken Seite zeigt eine einfache Appendizitis. Hier ist eine Verbreiterung und ein Ödem der Appendix zu sehen, mit einer erhöhten Kontrastmittelaufnahme der Appendixwand (blauer Pfeil) und einer geringen umgebenden Entzündungsreaktion. Beim Fortschreiten einer Appendizitis kommt es von der einfachen Form und einer nachfolgenden gangränösen Veränderung schließlich zur Perforation. Nach der initialen Obstruktion des Lumens kann es zu einer verminderten Perfusion kommen. Das Bild auf der rechten Seite zeigt eine gangränöse Appendizitis, bei welcher es zu einer Zunahme und einer Infiltration in das Mesenterium gekommen ist. Ein Appendikolith (gelber Pfeil) kommt ebenfalls zur Darstellung.

Diese Abbildung zeigt einen Appendikolithen (weißer Pfeil) mit einem großen Abszess (blau gestrichelte Linie), der einzelne Lufteinschlüsse enthält (roter Pfeil). Es zeigen sich angrenzend weitere entzündliche Veränderungen im Bereich des terminalen Ileums (gelber Pfeil). Eine Perforation stellt die schwerste Form der fortgeschrittenen Appendizitis dar, da es hier zu einer Infektion der Bauchhöhle kommt. Eine Perforation kann somit einen Abszess, eine Peritonitis und einer Sepsis zu Folge haben.

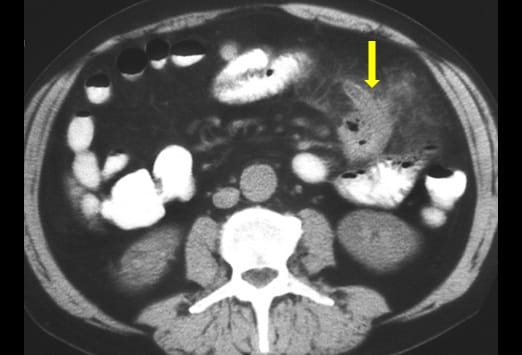
Eine atypische Appendizitis (siehe Abbildung) stellt eine diagnostische Herausforderung dar. Dieser 54-jährige Mann hatte seit 2 Tagen periumbilicale Schmerzen, eine Leukozytose und eine Abwehrspannung im Mittelbauch. Die CT-Untersuchung ergab den Befund einer Malrotation des Kolons mit einer Appendizitis (Pfeil) im Bereich des linken Oberbauchs. Man beachte den perityphlitischen Abszess. Trotzdem verursacht eine Appendizitis typischerweise Schmerzen im Bereich des rechten Unterbauches. Dies ist wichtig bei der raschen Erhebung einer Differentialdiagnose.

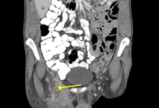
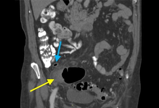
Ein Mann im mittleren Alter wird vorstellig mit Fieber und einem eiternden Leistenabszess. Diese koronaren CT-Aufnahmen zeigen eine im Femoralkanal eingeklemmte Appendix. Die Häufigkeit einer Hernierung der Appendix in eine Schenkelhernie liegt bei <1%; insgesamt kommt dieses Ereignis bei weniger als 0,13% aller Appendizitiden vor. [4] Schenkelhernien sind häufig angeborene Defekte; sie treten häufiger beim weiblichen Geschlecht auf. Aufgrund der Enge und Festigkeit des Femoralkanals ist die Rate an inkarzerierten Schenkelhernien (14-56%) signifikant höher als die der Leistenhernien (6-10%); aus diesem Grund sollte eine frühzeitige operative Therapie erfolgen.

Diese umschriebene Läsion von verdichtetem Fettgewebe und umgebendem Ödem (Pfeil) ist vereinbar mit einer Appendizitis epiploica und ist keine Appendizitis. Appendices epiploicae sind peritoneale Fettanhängsel, welche von der Serosa des Kolons ausgehen über einen Gefäßstiel adhärent sind; sie sind im CT häufig nicht zu identifizieren, wenn sie nicht entzündet sind. [5] Appendices epiploicae sind häufig mit Kolondivertikeln assoziiert und bestehen aus Fettgewebe und Blutgefäßen, welche zwischen 0,5 und 5cm lang sind. Eine Appendizitis epiploica ist in der Regel eine sich selbst limitierende Erkrankung, welche mittels oraler Antibiotikagabe therapiert werde kann. Antibiotika sind hierbei nicht routinemäßig indiziert und die Symptome verschwinden in der Regel nach 10 Tagen.

Diese junge Frau wurde mit akuten Schmerzen im rechten Unterbauch und Fieber vorstellig. Sie hatte eine unauffällige Appendix (gelber Pfeil), allerdings wurde eine Wandverdickung des terminalen Ileums gesehen (roter Pfeil). Eine sklerotische Veränderung beider Iliosakralgelenke, vereinbar mit einer abgelaufenen Sakroiliitis, wiesen auf einen M. Crohn hin. Die radiologische Bildgebung bei Patienten mit einem M. Crohn sollte mit Vorsicht erfolgen. Denn das häufige Auftreten von abdominellen Schmerzen bei Crohn-Patienten kann bei häufiger Durchführung eines CTs zu einer enorm hohen Gesamtstrahlendosis führen.

Dieser Patient wurde mit Schmerzen im rechten Unterbauch vorstellig. Die CT-Untersuchung zeigt eine Flüssigkeitstrasse entlang der rechten parakolischen Rinne (gelber Pfeil) und darüber hinaus oberhalb der rechten Niere. Ein Flüssigkeitsverhalt in diesem Bereich kann vereinbar sein mit einer fortgeschrittenen Erkrankung der Gallenblase, einer Pyelonephritis, einem Harnaufstau, einer Pankreatitis oder einer Divertikulitis. Eine sichere Beurteilung der Appendix ist in solchen Fällen eine nützliches Verfahren bei der Differentialdiagnose. Bei diesem Patienten wurde eine schwere Pankreatitis mit peripankreatischer Flüssigkeitsansammlung diagnostiziert.

Dieser 81-jährige Mann wurde mit Schmerzen im rechten Unterbauch vorstellig. Die CT- Untersuchung zeigt eine ausgeprägte Divertikulose des Kolons mit einer Sigmadivertikulitis. Es zeigen sich eine mesenteriale Infiltration (gelber Pfeil) sowie eine adhärente normal erscheinende Appendix (blauer Pfeil). Auch wenn eine Appendizitis die häufigste Diagnose bei älteren Patienten ist, sollten andere Diagnosen wie eine rechtsseitige Divertikulitis oder eine Sigmadivertikulitis bei elongiertem Sigma, eine entzündliche oder infektiöse Kolitis, ein perforiertes Kolonkarzinom oder eine mesenteriale Ischämie mit in Betracht gezogen werden.

Dieser ältere Mann wurde mit Schmerzen im rechten Unterbauch, Fieber und einer Leukozytose vorstellig. Die CT-Untersuchung zeigt einen Abszess angrenzend an das Coecum (blauer Pfeil), aber die Appendix erscheint normal (roter Pfeil). Die an die Appendix angrenzende Coecalwand erscheint ungewöhnlich verdickt. Im Rahmen des chirurgischen Eingriffs wurde ein perforiertes Coecumkarzinom gefunden.

Bei diesem 63-jährigen Mann mit einer Leistenhernie wurde zufällig eine Mukozele der Appendix gefunden. Die CT-Untersuchung zeigt eine innere Kalzifizierung (blauer Pfeil) und eine Ausdehnung in den Leistenkanal durch einen offenen Processus vaginalis. Eine akute Appendizitis kann aufgrund einer solchen Mukozele auftreten. Eine zystische Aufweitung, murale Kalzifikationen und ein Durchmesser von >1,3 cm sind als Alarmzeichen zu werten. [6] Eine korrekte Diagnosestellung ist insofern wichtig, da es bei einer Operation zu einem Austritt von Flüssigkeit und in der Folge zu einem Pseudomyxoma peritonei kommen kann. Eine ausgedehntere Operation kann dann bei malignen Mukozelen notwendig werden.

Ein 59-jähriger Patient mit einem hepatozellulären Karzinom wird mit Schmerzen im Mittelbauch und im rechten Unterbauch vorstellig. Die Bildgebung ergibt eine Infiltration des Mesenteriums und eine Wandverdickung des Dünndarms im Bereich des rechten Unterbauchs (blauer Pfeil). Die Appendix selbst war unauffällig und ein großer Thrombus wurde in der Pfortader identifiziert (gelber Pfeil). Durch die Anwendung von intravenösem Kontrastmittel konnte das venöse und das arterielle Gefäßsystem des Abdomens beurteilt werden. Die abdominellen Beschwerden des Patienten wurden durch den venösen Rückstau in die Mesenterialvenen und den erhöhten portalvenösen Druck ausgelöst. Eine chronische Lebererkrankung ist ein wichtiger Risikofaktor für das Auftreten einer Portalvenenthrombose.

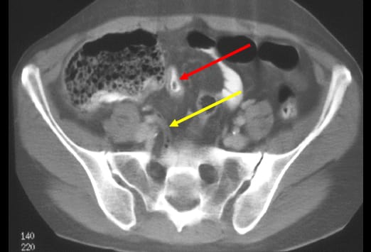
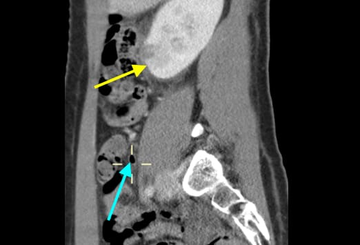
Ein 30-jähriger Mann wird vorstellig mit Fieber und Schmerzen im rechten Unterbauch. Die CT-Untersuchung zeigt eine normale Appendix (blauer Pfeil) und einen dilatierten rechten Ureter (gelber Pfeil). Weiter unterhalb ist ein obstruierendes Konkrement sichtbar, genau am Übergang vom Ureter zur Harnblase (roter Pfeil). Da viele CT-Untersuchungen zur Sicherung einer Urolithiasis ohne Kontrastmittel durchgeführt werden, kann die Beurteilbarkeit der Appendix hierbei eingeschränkt sein. Wenn im nativen CT keine Nieren- oder Harnleitersteine gesichert werden können, kann eine zusätzliche CT-Untersuchung mit oralem und intravenösem Kontrastmittel durchgeführt werden.

Die CT-Untersuchung bei dieser Frau, welche sich mit abdominellen Schmerzen vorstellte, zeigt eine unauffällige retrocoecale Appendix (blauer Pfeil). Nichtsdestotrotz ist die entzündliche Veränderung im Bereich des rechten Nierenunterpols vereinbar mit einer Pyelonephritis (gelber Pfeil). Bei schwangeren Frauen und Kindern sind aufgrund der Strahlenbelastung Abdomensonographie und MRT die empfohlenen Verfahren zur Diagnostik. Die Strahlenbelastung bei einer CT des Abdomens und des Beckens liegt im Bereich zwischen 5-20 mSV pro Untersuchung.

Bei dieser jungen Frau mit abdominellen Schmerzen wurde eine hämorrhagische Ovarialzyste mit Hämatoperitoneum (blauer Pfeil) diagnostiziert, und in der nachfolgenden Laparoskopie gesichert. Bei Frauen findet sich häufiger als bei Männern eine alternative Diagnose bei rechtsseitigen Unterbauchschmerzen. Verschiedenste gynäkologische Erkrankungen können Schmerzen im rechten Unterbauch auslösen, z.B. eine Salpingitis, eine Ovarialtorsion, eine rupturierte Dermoidzyste oder eine extrauterine Gravidität.[8] Falls in der Abdomen-CT keine Ursache für die Beschwerden festgestellt werden kann, ist in manchen Fällen die transvaginale Ultraschalluntersuchung hilfreich, um einen gynäkologischen Fokus auszuschließen, da diese Region im CT nur eingeschränkt beurteilbar ist.

Diese 28-jährige Frau wurde mit seit 7 Tagen bestehenden, rechtsseitigen Unterbauchschmerzen vorstellig. Die zuvor für 15 Jahre durchgeführte Empfängnisverhütung hatte die Patienten vor einigen Monaten abgesetzt. In den letzten Monaten hatte sie rezidivierende Schmerzen im Bereich des rechten Unterbauchs. Im Bereich des Mittelbauchs kam eine zystische Struktur mit lokaler Akzentuierung zur Darstellung (roter Pfeil). Die Appendix zeigte sich unauffällig (blauer Pfeil).

Bei der zuvor beschriebenen Patientin wurde ein transvaginaler Ultraschall durchgeführt. Im Ultraschall ließ sich eine komplexe zystische Struktur im Bereich des rechten Ovars darstellen (links). Die Farbduplexsonographie ergab eine erhöhte periphere Durchblutung (rechts), vereinbar mit einer hämorrhagischen Corpus luteum Zyste. Es wurde eine erneute Verlaufskontrolle nach zwei Menstruationszyklen empfohlen.

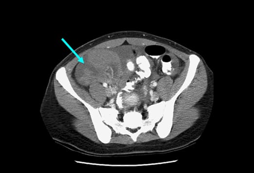
Dieser Patient wurde mit Schmerzen im gesamten Abdomen, Fieber und Übelkeit nach einer 6-tägigen Erkrankung vorstellig. Eine vergrößerte Appendix ist zu sehen, mit Akzentuierung der entzündlich veränderten Wand (schwarzer Pfeil). Die freie Flüssigkeit im kleinen Becken kann ein wichtiger Hinweis auf eine Abszessformation sein (weißer Pfeil). Bei dem Patienten wurde der Befund einer seit langem bestehenden Appendizitis gestellt. In Fällen einer solchen fortgeschrittenen Appendizitis sind Flüssigkeitstrassen im kleinen Becken wichtige diagnostische Befunde.

Dieser Patient gab aufgrund der tiefen Lage der Appendix nur wenig abdominelle Beschwerden an. Die Lage im kleinen Becken und die auffällig dicke Wand sind Anzeichen für eine mögliche nekrotisierende Appendizitis (blauer Pfeil). Bei dem Patienten wurde eine gangränöse Appendizitis diagnostiziert.

Dieser ältere Mann wurde mit rechtsseitigen Unterbauchschmerzen und begleitender Abwehrspannung vorstellig. Im CT sieht man einen aktiven Kontrastmittelaustritt (Pfeil) aus einem rupturierten Aortenaneurysma. Bei älteren Patienten ist die Wahrscheinlichkeit einer Gefäßerkrankung deutlich erhöht. Patienten mit andersartigen Befunden, welche den rechten M. psoas affektieren, können sich klinisch ebenfalls mit rechtsseitigen Unterbauchschmerzen präsentieren.

Ein älterer Mann wird mit Fieber, rechtsseitigen Unterbauchschmerzen und einer Leukozytose vorstellig. Wie man in der CT-Untersuchung sehen kann, hat der Patient eine unauffällig retrocoecale Appendix, aber ein deutlich verdicktes terminales Ileum (Pfeil) mit Lymphknoten von 1-1,5cm Größe entlang des Mesenterialstiels (hier nicht zu sehen). In der Operation wurde ein neuroendokriner Tumor des Ileums gefunden, der durch den Einbruch in die Serosa bereits eine lokale Ischämie verursacht hatte. Bitte beachten Sie die irreguläre Verdickung des terminalen Ileums.

Dieser ältere Patient wurde mit Fieber, einer Leukozytose und krampfartigen Schmerzen im rechten Unterbauch vorstellig. Die CT-Untersuchung zeigt ein verdicktes Coecum mit Lufteinschlüssen im Bereich der Coecalwand (Pfeil). Die Appendix selbst zeigt einen normalen Durchmesser und ist getrennt von der mesenterialen Minderdurchblutung. Während der operativen Therapie musste aufgrund einer Ischämie eine Hemikolektomie rechts erfolgen. Der Patient hatte einen künstlichen Mitralklappenersatz erhalten, sodass sich die Darmischämie wahrscheinlich auf dem Boden einer embolischen Genese ereignet hat.

Informationen über die Beitragenden
Autor
Caroline Taylor, MD
Associate Professor
Department of Diagnostic Radiology
Yale University School of Medicine
New Haven, Connecticut
Chief
Diagnostic Imaging Service
Veterans Affairs Connecticut Health Care System
West Haven, Connecticut
Offenlegung: Caroline Taylor weist keine relevanten finanziellen Abhängigkeiten auf.
Weitere Mitarbeiter
Lars Grimm, MD, MHS
Abteilung für diagnostische Radiologie
Duke University Medical Center
Durham, North Carolina
Offenlegung: Lars Grimm weist keine relevanten, finanziellen Abhängigkeiten auf.
Reviewer
Lennard Nadalo, MD
Clinical Professor
Department of Radiology
University of Texas Southwestern Medical Center at Dallas
Southwestern Medical School
Dallas, Texas
Consulting Staff
Envision Imaging of Allen and Radiological Consultants Association
DeSoto, Texas
Offenlegung: Lennard Nadalo weist keine relevanten finanziellen Abhängigkeiten auf.
Diese Slideshow wurde ursprünglich veröffentlicht auf Medscape.com im April 2012.
Übersetzt von Dr. Aristotelis Touloumtzidis, Chirurg.
